Консултация с лекар!

Вашето съобщение е изпратено. Благодарим ви, че попълнихте формуляра.

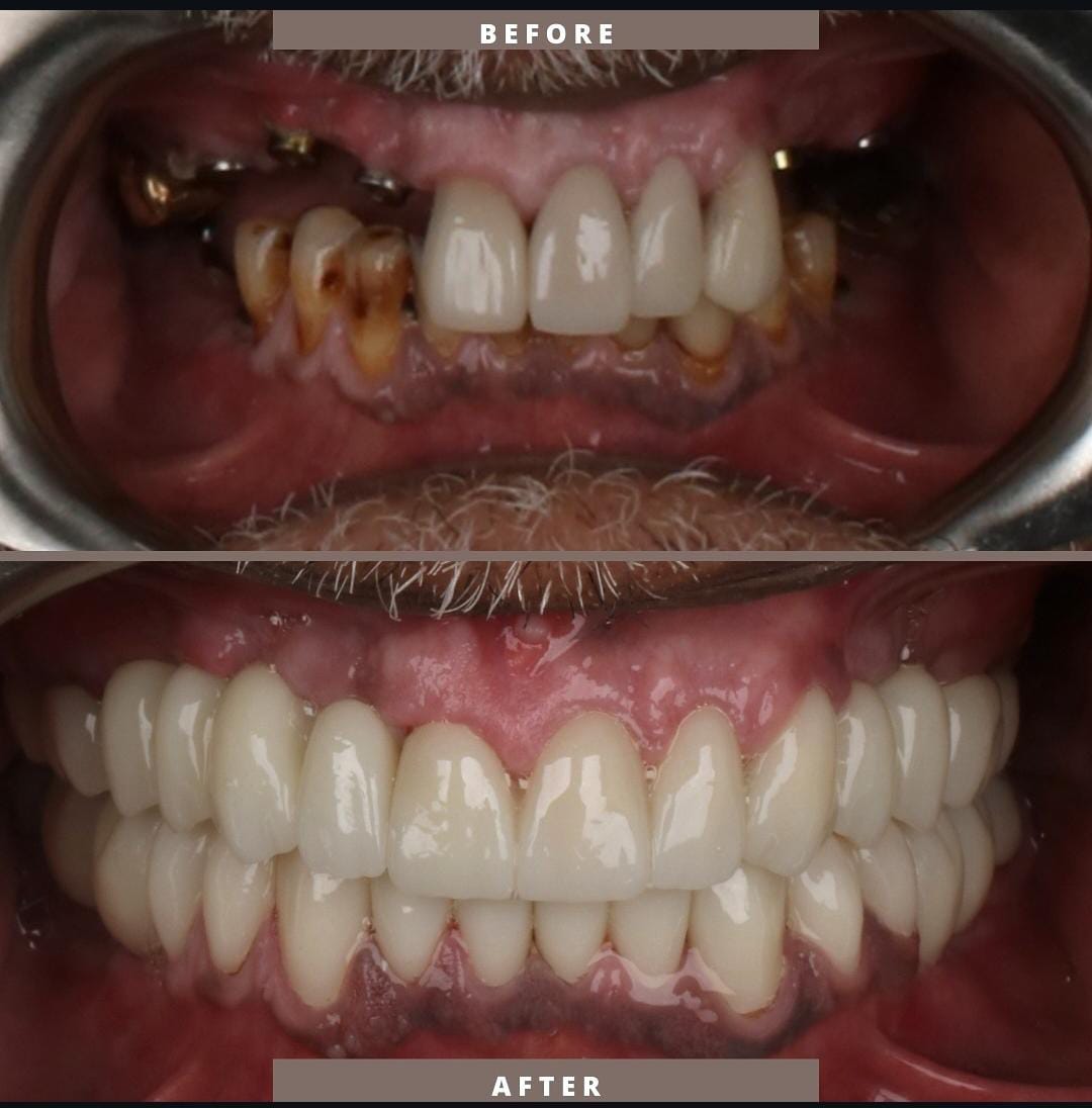
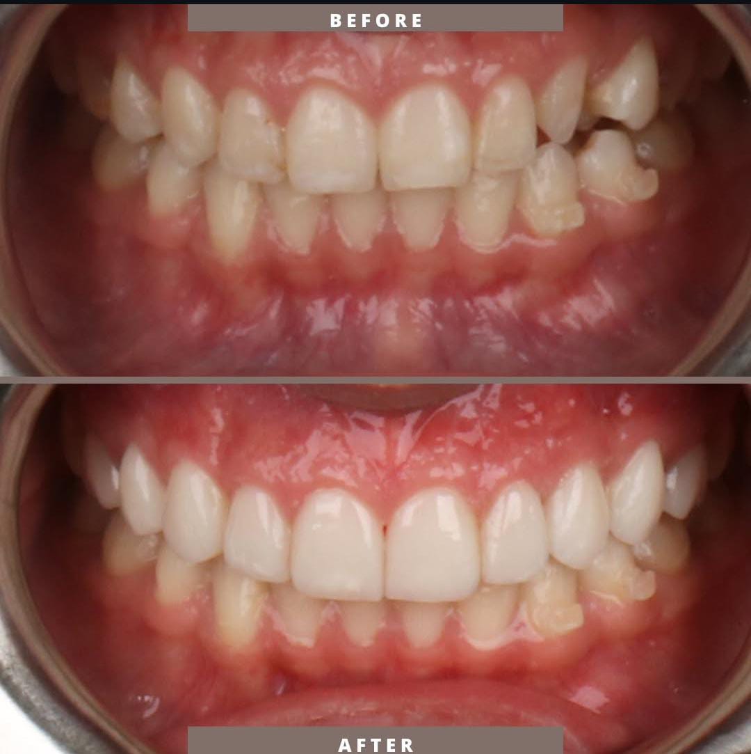
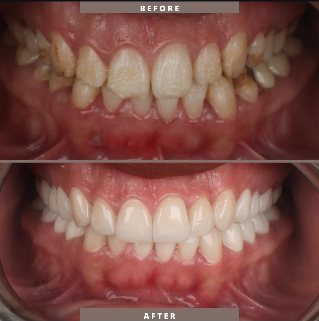
Нашите щастливи пациенти

Започнете своето ново пътешествие с IDEA DENTAL CLINIC!

Циркониево покритие

Циркониевото покритие е тип издръжливо покритие, използвано в денталната естетика. Това покритие е един от вариантите, който е най-близо до естествения вид. Той пропуска добра светлина и е по-естетичен от покритията с метална основа.

Свързваща обработка

Бондингът е процес, използван за придаване на естетичен вид на зъбите и се извършва с помощта на композитни материали за пълнене. Бондингът, който се извършва чрез залепване на композитни пломби към зъбите без никаква стоматологична работа, е метод, който елиминира дефектите в зъбите.

Почистване на зъбен камък

Почистването на зъбен камък е процес на професионално почистване от зъболекар на втвърдената плака или зъбен камък, натрупан по повърхността на зъбите. Зъбният камък се образува от остатъци от храна и бактерии, останали в устата, които се втвърдяват с течение на времето и не могат да бъдат отстранени с редовно четкане.

Idea Dental Clinic

Като поликлиника за орално и дентално здраве IDEA, заедно с нашия учреден персонал, състоящ се от трима зъболекари, които са експерти в своите области; Изхождаме от принципите за предоставяне на професионални, динамични, иновативни и модерни дентални здравни услуги.

Нашата клиника

Нашите лекари

Uzm. Dt. Can Metiner

Uzm. Dt. Gamze Kavuncu

Dt. Ali Can Yeni

Какво е включено в пакетите Türkiye Dental Aesthetics?

Процедура по прехвърляне

Преводачески услуги

Трансфер

Услуги за последващо обслужване